Cómo tratar y prevenir la gingivitis
La gingivitis es una enfermedad periodontal común que afecta a las encías, causando enrojecimiento, inflamación y sangrado. Es una de las primeras etapas de las enfermedades de las encías y puede ser un signo de problemas dentales más serios si no se trata a tiempo. En Gazdent, queremos ayudarte a entender cómo tratar y prevenir la gingivitis para mantener una salud bucal óptima.
Causas de la gingivitis
La gingivitis se desarrolla principalmente por la acumulación de placa bacteriana en los dientes y encías. La placa es una película pegajosa y sin color de bacterias que se forma en los dientes. Si no se elimina con un buen cepillado y uso de hilo dental, puede endurecerse y convertirse en sarro, que irrita las encías y lleva a la gingivitis.
Otras causas incluyen:
- Higiene bucal deficiente: No cepillarse los dientes dos veces al día ni usar hilo dental regularmente.
- Tabaquismo: Fumar puede debilitar el sistema inmunológico y dificultar la recuperación de las encías.
- Cambios hormonales: Las mujeres embarazadas, adolescentes y personas que toman anticonceptivos pueden experimentar cambios en las encías debido a fluctuaciones hormonales.
- Deficiencias nutricionales: La falta de vitamina C puede contribuir a la salud deficiente de las encías.
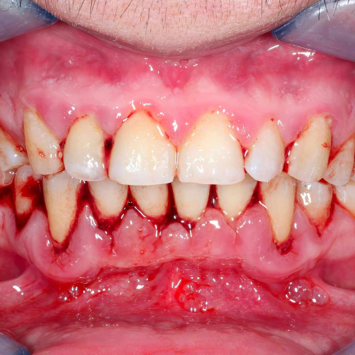
Síntomas de la gingivitis
Los síntomas comunes de la gingivitis incluyen:
- Encías rojas, inflamadas y sensibles
- Sangrado de encías al cepillarse o usar hilo dental
- Mal aliento persistente
- Encías que se separan de los dientes
Si experimentas alguno de estos síntomas, es importante actuar rápidamente para evitar que la gingivitis avance a periodontitis, una forma más grave de enfermedad de las encías.
Cómo tratar la gingivitis
El tratamiento de la gingivitis se centra en eliminar la placa y el sarro acumulado, y en mejorar los hábitos de cuidado dental. Aquí hay algunas soluciones efectivas:
1. Cepillado adecuado
Cepíllate los dientes al menos dos veces al día con una pasta dental que contenga flúor. Asegúrate de cepillar también la línea de las encías para eliminar la placa.
2. Uso de hilo dental
El uso diario de hilo dental ayuda a eliminar la placa y los restos de comida entre los dientes y debajo de la línea de las encías.
3. Enjuagues bucales
Utiliza enjuagues bucales antimicrobianos para reducir la placa y combatir las bacterias que causan la gingivitis.
4. Limpieza profesional
Visita a tu dentista para una limpieza profesional. Los dentistas pueden eliminar el sarro que el cepillado y el hilo dental no pueden alcanzar.
5. Mejora tu dieta
Mantén una dieta equilibrada rica en frutas y verduras. La vitamina C es especialmente importante para la salud de las encías.
Cómo prevenir la gingivitis
La prevención de la gingivitis es clave para mantener unas encías saludables y evitar problemas dentales más serios. Aquí hay algunas estrategias de prevención:
- Mantén una rutina de higiene bucal constante: Cepíllate los dientes dos veces al día y usa hilo dental diariamente.
- Visita a tu dentista regularmente: Las revisiones dentales periódicas ayudan a detectar problemas antes de que se agraven.
- Evita el tabaco: Fumar puede empeorar los problemas de encías y retrasar la recuperación.
- Mantén una dieta saludable: Incluye alimentos ricos en vitaminas y minerales esenciales para la salud de las encías.
En Gazdent, nos comprometemos a ayudarte a mantener una excelente salud bucal. Si sospechas que tienes gingivitis o deseas obtener más información sobre cómo prevenirla, no dudes en contactarnos al 945 33 48 33. También puedes visitar nuestra página de contacto para programar una consulta. Cuida tus encías y mantén tu sonrisa saludable con nosotros!




0 comentarios